Professionelle Mundhygiene
Strahlende Zähne · Langfristige Gesundheit · Individuelle Betreuung
Herzlich willkommen auf unserer Mundhygiene-Seite bei Dr. Hashem in Wien. Wir legen großen Wert auf die Gesundheit Ihres Mundes und bieten Ihnen maßgeschneiderte Mundhygiene-Programme für strahlende Zähne und langfristige Zahngesundheit.
Was wird bei der Mundhygiene gemacht?
Der Begriff „Mundhygiene” bezeichnet in der Zahnmedizin alle Maßnahmen, die dazu benutzt werden, um Zähne und Zahnraum gesund zu halten.
Gründliche Untersuchung
Am Anfang der professionellen Mundhygiene steht eine gründliche Untersuchung des Gebisses. Wir analysieren Ihren individuellen Mundgesundheitsstatus.
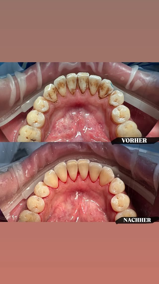
Entfernung von Belägen
Danach werden die Beläge auf den Zahnoberflächen, in den Zahnzwischenräumen und in den Zahnfleischtaschen mit speziellen Instrumenten entfernt.
Beseitigung von Verfärbungen
Verfärbungen durch Kaffee, Tee oder Zigarettenkondensat werden mit Spezialinstrumenten, wie einem Pulverstrahlgerät, professionell entfernt.
Unsere Arbeit im Detail
Gründliche Reinigung aller Bereiche
Sind die harten Beläge entfernt, kommen die weichen Ablagerungen an die Reihe. Dazu werden verschiedene Handinstrumente, kleine Bürsten und Zahnseide benutzt.
Weil Bakterien sich zuerst an rauen Stellen und in Nischen festsetzen, folgt als Nächstes die Politur, um die Zähne zu glätten. Anschließend werden die gereinigten Zahnflächen mit einem Fluoridlack überzogen.
Professionelle Pflegetipps für zu Hause
Perfekte Zahnseiden-Technik
So erreichen Sie alle Zahnzwischenräume optimal
Elektrische Zahnbürste
Maximale Reinigungswirkung richtig genutzt
Zungenreinigung
Wichtiger Schritt gegen Mundgeruch
Für wen ist die Mundhygiene geeignet?
Mundhygiene ist für Personen jeden Alters und Geschlechts sinnvoll, auch für Kinderzähne. Neben Zahnbürsten, Zahngel oder -creme, Zahnseide und Interdentalbürsten gehört auch eine regelmäßige professionelle Zahnreinigung, wie sie der Zahnarzt durchführt, zur Mundhygiene dazu.
Für die ganze Familie
Von Kindern bis Senioren – jeder profitiert von professioneller Mundhygiene
Bei besonderen Bedürfnissen
Ideal für Träger von Zahnspangen, Implantaten oder Prothesen
Häufige Fragen zur Mundhygiene
Wie lange dauert die professionelle Zahnreinigung?
Eine Mundhygiene inklusive Untersuchung nimmt in etwa 30-60 Minuten in Anspruch. Der Zahnarzt oder Dentalhygieniker gibt außerdem Tipps zur richtigen Zahnpflege.
Wie oft sollte ich zur professionellen Zahnreinigung?
Wissenschaftliche Untersuchungen haben ergeben, dass die professionelle Mundhygiene im Abstand von sechs Monaten die ideale Ergänzung zum gründlichen Putzen ist, um Zähne und Zahnfleisch gesund zu halten. Je nach individuellem Erkrankungsrisiko sind jedoch andere Zeitintervalle sinnvoll.
Ist die Behandlung schmerzhaft?
Die professionelle Zahnreinigung ist in der Regel schmerzfrei. Bei empfindlichen Zähnen oder Zahnfleisch können wir auf Wunsch eine lokale Betäubung anwenden.
Termin für Ihre Mundhygiene vereinbaren
Investieren Sie in Ihre langfristige Zahngesundheit und ein strahlendes Lächeln.





