Moderne Diagnostik
Wir setzen auf modernste Technologie für präzise Diagnosen und schonende Behandlungen. Unsere digitalen Geräte ermöglichen eine exakte Planung und optimale Ergebnisse.
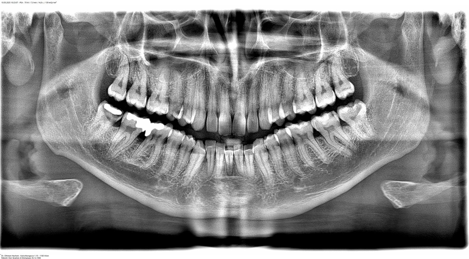
Digitales 3D-Röntgen (DVT)
Präzise 3D-Diagnostik für Implantate und komplexe Behandlungen
Unser modernes DVT-Gerät ermöglicht dreidimensionale Aufnahmen des Kiefers mit
minimaler Strahlenbelastung. Die präzisen 3D-Bilder sind Grundlage für
implantologische Behandlungen, Wurzelkanaltherapien und die Planung komplexer
zahnärztlicher Eingriffe.
Geringste Strahlenbelastung im Vergleich zu herkömmlichen Röntgengeräten
Hochpräzise 3D-Bilder für exakte Behandlungsplanung
Schnelle Aufnahme in nur wenigen Sekunden
Komfortable und angstfreie Untersuchung für Patienten
So funktioniert das DVT-Gerät
Erleben Sie die Vorteile der modernen 3D-Diagnostik
Scan-Prozess
Schnelle und komfortable Aufnahme
Bildqualität
Hochauflösende 3D-Darstellung
Anwendungen
Vielfältige Einsatzmöglichkeiten
Sicherheit
Minimale Strahlenbelastung
Intraoraler 3D-Scanner
Digitale Abformung ohne unangenehme Abdruckmasse
Unser intraoraler 3D-Scanner erstellt präzise digitale Abformungen Ihrer Zähne
in Echtzeit. Ohne unangenehme Abdruckmasse, Würgereiz oder Wartezeit erhalten
wir millimetergenaue 3D-Modelle für perfekt sitzenden Zahnersatz.
Komfortable digitale Abformung ohne Abdruckmasse
Echtzeit-Visualisierung des Scan-Ergebnisses
Höchste Präzision für perfekt passenden Zahnersatz
Schnellere Behandlungszeiten durch digitale Prozesse
Digitale Abformung mit dem 3D-Scanner
Erleben Sie den modernen Weg zur perfekten Zahnversorgung
Scan-Vorgang
Einfache und schnelle Abformung
Präzision
Millimetergenaue digitale Modelle
Komfort
Kein Würgereiz mehr
Ergebnisse
Perfekter Sitz des Zahnersatzes





